Bát nháo cơ sở y tế nhái thương hiệu
Nhiều bệnh viện khu vực phía Nam cảnh báo về tình trạng các tổ chức, cá nhân nhái giả, xâm phạm quyền ở hữu thương hiệu. Vấn nạn này không chỉ ảnh hưởng đến uy tín của các cơ sở y tế mà còn khiến nhiều người dân bị sập bẫy dẫn đến tiền mất, tật mang.
Ca tay chân miệng tăng, chuyên gia nhận định thời gian dịch “hạ nhiệt"
Tp. HCM đang ở tình huống 2 ứng phó bệnh tay chân miệng tức khoảng 50-100 ca nhập viện/ngày. Vậy khi nào dịch bệnh có dấu hiệu “hạ nhiệt”?
Thứ trưởng Bộ Y tế xúc động trước sự nhiệt huyết của bác sĩ trẻ ở Huế
GS.TS Trần Văn Thuấn, Thứ trưởng Bộ Y tế xúc động trước nhiều hoạt động tình nguyện ý nghĩa của các đoàn viên thanh niên ngành y tế ở Huế.
Giáo sư 17 lần mắc bệnh hiểm nghèo vẫn sống thọ 111 tuổi: Bữa ăn toàn thực phẩm quen thuộc với người Việt, chú trọng 4 'ít', 2 'đủ'
Dù ngày bé từng bị lao phổi, khi trưởng thành cũng nhiều lần nhập viện nhưng ở tuổi 109, người đàn ông này vẫn minh mẫn viết sách chia sẻ kinh nghiệm sống thọ với mọi người.
Người đàn ông ‘vụng trộm’ và cái kết đầy nước mắt sau 30 năm
Tony là “sản phẩm” của mối tình vụng trộm giữa mẹ anh và người đàn ông đã có vợ, 30 năm sau hai cha con có cuộc hội ngộ đầy nước mắt.
Nghiên cứu: Thời điểm ăn sáng có thể làm tăng 59% nguy cơ mắc tiểu đường
Một nghiên cứu mới đây đã tiết lộ rằng những người thường xuyên có thói quen ăn sáng vào thời điểm này có nguy cơ mắc bệnh tiểu đường loại 2 cao hơn.
Nguyên nhân không ngờ gây đột quỵ sớm, nhiều người mắc phải
(NLĐO) - Các nhà khoa học Mỹ phát hiện ra một hành động mà khá nhiều người trong chúng ta hay làm có thể là "tử thần" đồng hành cùng chứng cao huyết áp để gây ra những cơn đột quỵ sớm và rút ngắn tuổi thọ.
Một sản phụ tử vong bất ngờ tại Bệnh viện Vũng Tàu
Người nhà cho hay đã trình báo vụ việc với Công an tỉnh Bà Rịa - Vũng Tàu sau khi chứng kiến cái chết đau đớn của người thân tại Bệnh viện Vũng Tàu.
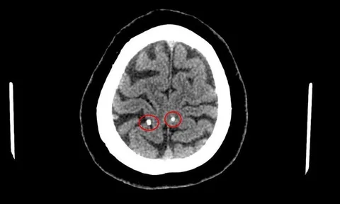
Sán làm tổ trong não vì thói quen ăn đồ sống
Đi khám vì thấy nhức đầu nhiều, người bệnh được chụp cắt lớp vi tính sọ não, kết quả cho thấy hình ảnh nang ký sinh trùng trong não.
Nhập viện cấp cứu sau khi phá thai 22 tuần ở phòng khám tư
Bệnh nhân đến phòng khám tư tại quận 10, TP HCM để phá thai 22 tuần. Sau nạo hút thai thì sức khỏe nguy kịch, được đưa đến Bệnh viện Hùng Vương cấp cứu.
Cả gia đình ngộ độc nấm rừng, 3 người tử vong
Hai người lớn và một trẻ nhỏ đã tử vong do ngộ độc nấm rừng. Thời điểm nhập viện, bệnh nhân bị suy gan cấp, men gan gấp 200 lần bình thường, rối loạn đông máu.
Người đột quỵ não phục hồi chức năng sớm có hại hay không?
(NLĐO) – Tại Việt Nam, mỗi năm có khoảng 200.000 người bị đột quỵ, tỉ lệ tử vong 20%. Đáng lưu ý, bệnh đang có xu hướng tăng ở những người trẻ.
Triệu chứng tương đồng giữa u não và nhiễm sán lợn trên não
Nhiều trường hợp bệnh nhân nhiễm sán lợn trên não đã bị nhầm lẫn với các bệnh khác dẫn đến điều trị muộn, thậm chí hoang mang vì tưởng mắc u não.
Bà Rịa-Vũng Tàu: Làm rõ vụ sản phụ 32 tuổi tử vong sau sinh
Chiều ngày 21/7, Bệnh viện Vũng Tàu (tỉnh Bà Rịa - Vũng Tàu) đã thông tin với báo chí về vụ việc sản phụ L.T.H.N. 32 tuổi, trú tại huyện Xuyên Mộc, tỉnh Bà Rịa - Vũng Tàu tử vong tại bệnh viện, sau khi sinh con.









