Người đàn ông nhiễm khuẩn, nguy kịch sau khi vào bếp nấu ăn
Nam bệnh nhân bị nhiễm khuẩn huyết, sốc nhiễm khuẩn biến chứng suy đa tạng do nhiễm liên cầu khuẩn lợn.
Loại hạt được giáo sư đại học Mỹ ngợi khen vì tác dụng giảm mỡ máu tuyệt vời: Có rất nhiều ở Việt Nam
Chỉ ăn một nắm hạt này là bạn đã có thể nhận được rất nhiều lợi ích sức khỏe, đặc biệt nếu bạn đang muốn kiểm soát mỡ máu.
Đi khám vì có dấu hiệu lạ trong miệng, không ngờ nguyên nhân là ung thư
Khi được thông báo mắc ung thư, cả bệnh nhân và gia đình đã rất ngỡ ngàng.
Mắc bệnh hoang tưởng, người đàn ông ép vợ nói 'yêu chồng' mỗi ngày
Nhận thấy hành động của chồng bất thường, người vợ đưa anh đến bệnh viện tâm thần kiểm tra.
Mâu thuẫn gia đình, nam thanh niên bị đâm gãy dao
Nam bệnh nhân vào cấp cứu với lưỡi dao bị gãy, cắm sâu trong bả vai, gần vùng động mạch nguy hiểm đến tính mạng
Người đàn ông bị hàng chục con giòi làm tổ trong tai
Một trường hợp hi hữu vừa được các bác sĩ Bệnh viện Tai Mũi Họng Trung ương xử lí. Đó là bệnh nhân Vũ Văn T. ,63 tuổi (Gia Viễn, Ninh Bình) nhập viện cấp cứu trong tình trạng sưng và đau nhiều trong tai, ù tai, nghe kém kèm xung huyết và tiết dịch. Các bác sĩ đã gắp ra hàng chục con giòi làm tổ trong tai bệnh nhân này.
Lợi dụng hình ảnh bác sĩ, giả mạo giấy tờ quảng cáo bán Hương Phục Khí
Nguyên Phó Cục trưởng Cục Y, Dược cổ truyền phản ánh một số trang mạng xã hội đã lợi dụng hình ảnh và danh tính của Bà quảng cáo cho sản phẩm Hương Phục Khí.
Kết quả chùm ca ngộ độc nghi do botulinum tại TP Thủ Đức: 1 người đã khỏi hoàn toàn
(NLĐO) – Liên quan đến 3 vụ nghi ngờ ngộ độc Clostridium botulinum trên địa bàn TP Thủ Đức, sau 3 tháng điều tra, kết quả chỉ có một vụ được kết luận là do độc tố Clostridium botulinum.
3 dấu hiệu xác định sớm căn bệnh ung thư da ở đàn ông
Nghiên cứu mới chỉ ra một số thống kê đáng báo động về cách chẩn đoán ung thư da ở nam giới thuộc các nhóm chủng tộc khác nhau.
Người đàn ông suýt phải cắt bỏ thận sau vài ngày đau thắt lưng
Khi bị đau vùng thắt lưng hoặc tiểu tiện ra máu, tiểu buốt người bệnh nên đến bệnh viện để kiểm tra.
Nghiên cứu chỉ ra 5 thực phẩm bảo vệ sức khỏe đường ruột, chuyên gia lưu ý hữu ích, nhưng đừng lạm dụng!
Mới đây, một nghiên cứu của Đại học bang San Jose (Mỹ) cho thấy hành tây, tỏi tây, tỏi, lá bồ công anh và atisô là những thực phẩm chứa nhiều prebiotic nhất, giúp bảo vệ sức khỏe đường ruột.
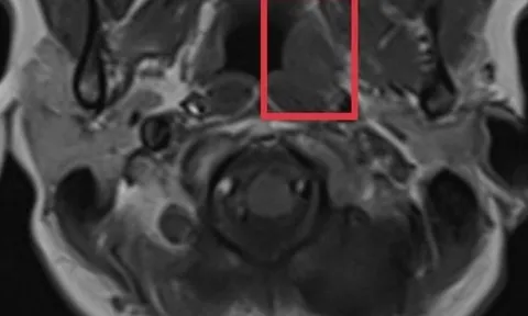
Cẩn trọng với loại ung thư nguy hiểm nhưng có triệu chứng mơ hồ
Nữ bệnh nhân 44 tuổi bỗng thấy đau đầu nhiều, kéo dài khoảng 1 tháng, càng về sau cơn đau càng dữ dội kèm theo chóng mặt.
Đột phá từ Mỹ: Tìm ra cách khiến tế bào ung thư tự hủy
(NLĐO) - Tế bào ung thư biến đổi để trở nên "bất tử" nhưng các nhà khoa học từ Đại học Stanford (Mỹ) đã thiết kế một loại phân tử nhỏ làm đảo ngược quá trình này.
Nhiều cá nhân giả mạo chứng chỉ hành nghề dược
(NLĐO) – Ngày 1-8, Thanh tra Sở Y tế TP HCM đã công khai danh sách xử phạt vi phạm hành chính lĩnh vực dược phẩm, mỹ phẩm, trang thiết bị y tế trong giai đoạn từ ngày 1 đến 31-7.









